هل تشعر بألم حاد في الجزء الخلفي من قدمك يمنعك من المشي بشكل طبيعي؟ هل تعاني من صعوبة في الوقوف على أطراف أصابعك؟ قد تكون هذه علامات على قطع جزئي في وتر اكيلس، وهي إصابة شائعة تصيب الرياضيين والأشخاص النشطين، لكنها قد تحدث لأي شخص نتيجة حركة مفاجئة أو إجهاد متكرر.
وتر أكيلس هو أقوى وأكبر وتر في الجسم ويربط عضلات الساق بعظم الكعب، ويلعب دورًا حيويًا في المشي والجري والقفز، وفي هذا المقال سنتناول بالتفصيل كل ما تحتاج معرفته عن قطع جزئي في وتر اكيلس من أعراض وأسباب وطرق العلاج الحديثة، لتتمكن من اتخاذ القرار الصحيح نحو التعافي الكامل.
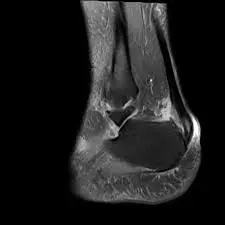
قطع جزئي في وتر القدم
قطع جزئي في وتر القدم أو ما يُعرف بالتمزق الجزئي لوتر أكيلس هو حالة طبية تحدث عندما تتمزق بعض ألياف الوتر دون انفصال كامل للوتر، ويختلف قطع جزئي في وتر اكيلس عن القطع الكامل في أن الوتر يحتفظ ببعض اتصاله ووظيفته، مما يجعل خيارات العلاج أكثر تنوعًا ونسب الشفاء أفضل.
ويحدث هذا النوع من الإصابات غالبًا نتيجة الإجهاد المتكرر أو الحركات المفاجئة التي تفوق قدرة الوتر على التحمل، والرياضيون الذين يمارسون رياضات تتطلب القفز والجري السريع مثل كرة السلة والتنس هم الأكثر عرضة للإصابة بقطع جزئي في وتر القدم، لكن قد تصيب أيضًا الأشخاص في منتصف العمر الذين يمارسون نشاطًا بدنيًا مفاجئًا دون تحضير كافي.

أعراض قطع وتر اكيلس
التعرف المبكر على أعراض قطع وتر اكيلس أمر بالغ الأهمية للحصول على العلاج المناسب وتجنب المضاعفات، وتختلف شدة الأعراض حسب درجة الإصابة، لكن هناك علامات مميزة يجب الانتباه إليها:-
- ألم حاد ومفاجئ: في الجزء الخلفي من الكعب أو أسفل الساق، يشعر به المريض كأنه ضربة مباشرة أو طعنة.
- صوت فرقعة أو طقطقة: واضح لحظة حدوث الإصابة، يسمعه المريض ومن حوله أحيانًا.
- تورم واضح: في منطقة الإصابة مع ظهور كدمات حول الكعب والكاحل.
- صعوبة شديدة: في ثني القدم للأسفل أو الوقوف على أطراف أصابع القدم.
- الشعور بفجوة: أو انخفاض ملموس في الوتر عند لمس المنطقة المصابة.
- عرج واضح: وعدم القدرة على المشي بشكل طبيعي
وفي حالات قطع جزئي في وتر اكيلس، قد تكون الأعراض أقل حدة من القطع الكامل، لكنها تظل مؤلمة ومعيقة للحركة، وقد يستطيع المريض المشي لكن مع ألم وصعوبة ملحوظة، خاصةً عند محاولة الدفع بالقدم أثناء المشي.
هل يمكن شفاء الوتر المقطوع جزئيا؟
نعم، يمكن شفاء الوتر المقطوع جزئيًا بنجاح كبير، وتعتمد نسبة الشفاء على عدة عوامل مهمة، أن يطون جسم الإنسان لديه قدرة رائعة على الشفاء الذاتي، والأوتار تتمتع بقدرة على الالتئام عندما تتوفر الظروف المناسبة والعلاج الصحيح.
والدراسات الطبية تشير إلى أن نسبة نجاح علاج قطع جزئي في وتر القدم تتجاوز 85% مع العلاج التحفظي الصحيح، وترتفع إلى أكثر من 95% مع التدخل الجراحي في الحالات التي تستدعي ذلك علاج تمزق اربطة الكاحل.
علاج قطع جزئي في وتر اكيلس
يعتمد اختيار طريقة علاج قطع جزئي في وتر اكيلس على عدة عوامل منها شدة الإصابة، عمر المريض، مستوى نشاطه البدني، ووجود أمراض مصاحبة، وهناك خياران رئيسيان للعلاج:
1- علاج قطع وتر اكيلس بدون جراحة
العلاج التحفظي هو الخيار الأول للكثير من حالات قطع جزئي في وتر اكيلس، خاصةً التمزقات البسيطة إلى المتوسطة ويتضمن هذا النهج:-
المرحلة الأولى (أول أسبوعين)
- الراحة التامة وعدم تحميل القدم المصابة أي وزن.
- رفع القدم فوق مستوى القلب لتحسين الدورة الدموية.
- تناول الأدوية المضادة للالتهاب والمسكنات حسب وصف الطبيب.
- استخدام جبيرة أو جبس لتثبيت القدم في وضعية تقلل الشد على الوتر.
- وضع الثلج على المنطقة المصابة لمدة 15-20 دقيقة كل ساعتين لتقليل التورم.
المرحلة الثانية (الأسابيع 3-6)
- استخدام مرهم لعلاج التهاب وتر أخيل مثل المراهم المحتوية على مضادات الالتهاب الموضعية.
- التحول التدريجي إلى حذاء طبي خاص مع كعب مرتفع.
- البدء بتحريك القدم بلطف ضمن نطاق محدود.
- بدء العلاج الطبيعي تحت إشراف متخصص.
2- عملية قطع وتر أكيلس
في بعض الحالات قد يوصي الطبيب بالتدخل الجراحي، خاصةً إذا كان التمزق كبيرًا أو إذا كان المريض رياضيًا يرغب في العودة لمستوى أداء عالي، وعملية قطع وتر أكيلس تهدف إلى خياطة الأجزاء الممزقة من الوتر معًا لاستعادة قوته ووظيفته.
مزايا عملية قطع وتر أكيلس تشمل انخفاض معدل تكرار الإصابة مقارنة بالعلاج التحفظي، وعودة أسرع للقوة الكاملة للوتر، ونتائج أفضل للرياضيين والأشخاص النشطين جدًا.
العلاج الطبيعي بعد عملية وتر اكيلس
العلاج الطبيعي بعد عملية وتر اكيلس يعد حجر الزاوية في نجاح العلاج وعودة الوتر لوظيفته الكاملة، ويبدأ عادةً بعد فترة التثبيت الأولية، ويتدرج بشكل منظم ومدروس.
المرحلة المبكرة (الأسابيع 3-6):
- تحريك القدم للأعلى والأسفل ضمن حدود آمنة.
- تمارين العضلات المحيطة بدون تحميل الوتر.
- تمارين نطاق الحركة اللطيفة لمنع التيبس.
المرحلة المتوسطة (الأسابيع 6-12):
- تمارين تقوية تدريجية للوتر وعضلات الساق.
- البدء بتحميل الوزن التدريجي على القدم.
- المشي بدون مساعدة تدريجيًا.
- تمارين التوازن والتنسيق.
المرحلة المتقدمة (الشهر 3-6):
- تمارين القوة والمقاومة المتقدمة.
- تمارين القفز والهبوط التدريجية.
- العودة التدريجية للنشاطات الرياضية.
- تمارين خاصة حسب نوع الرياضة الممارسة.
ولكن العلاج الطبيعي بعد عملية وتر اكيلس يجب أن يكون تحت إشراف معالج طبيعي متخصص، حيث أن التقدم السريع جدًا قد يؤدي لتمزق جديد، بينما التقدم البطيء جدًا قد يؤدي لضعف دائم.
كم يستغرق علاج قطع وتر اكيلس؟
مدة علاج قطع وتر القدم تختلف بشكل كبير حسب شدة الإصابة وطريقة العلاج المختارة، لكن هناك جداول زمنية عامة يمكن توقعها، وتتمثل مدة اصابة قطع جزئي في وتر اكيلس فيما يلي:-
- التمزقات المتوسطة (25-50% من الوتر): العلاج التحفظي: 8-12 أسبوع للشفاء الأساسي.
- التمزقات البسيطة (أقل من 25% من الوتر): 6-8 أسابيع للشفاء الأساسي.
- بعد عملية قطع وتر أكيلس: فترة التثبيت: 6-8 أسابيع.
ومن المهم جدًا عدم التسرع في العودة للنشاط الكامل قبل اكتمال الشفاء، حيث أن العودة المبكرة تزيد من خطر تكرار الإصابة بشكل كبير.
هل يمكن التعايش مع قطع وتر أكيلس؟
نعم يمكن التعايش مع قطع جزئي في وتر اكيلس بشكل جيد بعد العلاج المناسب، لكن هناك اعتبارات مهمة يجب مراعاتها، كما أن معظم المرضى يعودون لحياتهم الطبيعية دون قيود كبيرة، لكن قد تبقى بعض التحديات البسيطة.
أشهر الأسئلة
هل يتطلب التمزق الجزئي لوتر أخيل إجراء جراحة؟
ليس دائمًا، فمعظم حالات قطع جزئي في وتر اكيلس يمكن علاجها بنجاح دون جراحة.
كم مدة علاج قطع وتر القدم؟
مدة علاج قطع وتر القدم تتراوح عادة بين 3-6 أشهر للعودة للأنشطة العادية، وقد تمتد إلى 9-12 شهر للعودة الكاملة للرياضات التنافسية.
أقوى مرهم لعلاج التهاب وتر أخيل
لا يوجد مرهم لعلاج التهاب وتر أخيل يمكن اعتباره الأقوى بشكل مطلق، لكن المراهم المحتوية على مضادات الالتهاب غير الستيرويدية (NSAIDs) تعتبر فعالة في تخفيف الألم والالتهاب.
هل قطع الوتر الجزئي يلتئم؟
نعم قطع الوتر الجزئي يلتئم في معظم الحالات مع العلاج المناسب، والأوتار لديها قدرة طبيعية على الشفاء.
اختر الأفضل لعلاج قطع جزئي في وتر اكيلس – د. أحمد العطار
إذا كنت تعاني من قطع جزئي في وتر اكيلس أو تشك في إصابتك بهذه الحالة، فإن اختيار الطبيب المناسب هو الخطوة الأولى نحو الشفاء الكامل، الدكتور أحمد العطار يُعد واحدًا من أبرز المتخصصين في علاج إصابات الأوتار والعظام، مع خبرة واسعة امتدت لسنوات في التعامل مع مختلف حالات قطع جزئي في وتر اكيلس.
ويتميز الدكتور أحمد العطار بنهج علاجي شامل يجمع بين أحدث التقنيات الطبية والخبرة العملية الواسعة، ويمتلك مركزه أحدث أجهزة التشخيص بالموجات فوق الصوتية والرنين المغناطيسي لتقييم الإصابة بدقة عالية، مما يساعد في وضع خطة علاجية مخصصة لكل حالة.
لا تدع الألم يسيطر على حياتك احجز موعدك الآن مع د. أحمد العطار واحصل على تشخيص دقيق وخطة علاجية متكاملة لحالتك، استثمر في صحتك اليوم واتخذ الخطوة الأولى نحو حياة خالية من الألم والقيود.









